Smile Gallery
The best part of our job is improving the way patients feel about their smiles. Comfort, beauty, and function are our priorities when it comes to smile makeovers with our Springfield, IL dentist. Please take a moment to look over our smile gallery images from previous procedures done by Dr. Shane Ruggless!





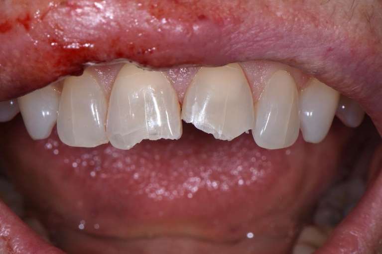
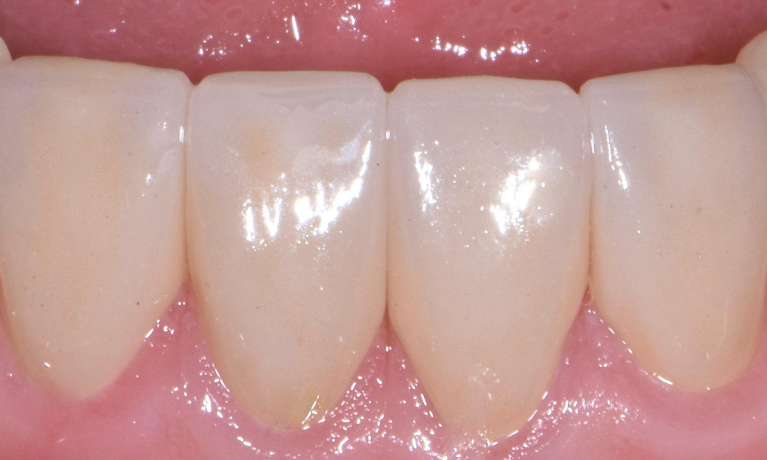
This patient came to our office wanting to improve the looks of her smile. She was unhappy with the color of her front tooth, and she wanted them to all match.



This patient presented in our office seeking a straighter and whiter smile. She was unhappy with the crowding on her top and bottom teeth.
We discussed the benefits of Invisalign and the patient elected to move forward with treatment. In 10 short months, we were able to give her a beautiful smile with straight teeth. Following invisialign we made custom bleaching trays and used Zoom teeth whitening take-home gel. After two weeks her teeth had changed over 8 shades! The pictures here show her transformation from before to after. The patient was ecstatic ...
--






This patient received crown lengthening and four upper crowns to dramatically enhance their oral health and appearance. Through crown lengthening, we carefully reshaped the gum tissue and bone around the teeth to expose more of the natural tooth, creating a more balanced and aesthetically pleasing look.
This procedure was followed by placing four upper dental crowns, restoring this patient's dental strength and functionality. The result is a stunning, rejuvenated smile that radiates confidence!
Unlock Your Smile’s Full Potential
Contact us today to schedule a consultation and discover how crown lengthening and four upper crowns can revitalize your appearance and boost your self-confidence!




This patient was unhappy with the color and position of her front teeth both top and bottom. A procedure called crown lengthening was performed to help improve the shape and position of the gums. Once the gums healed, 12 Crowns (6 top and 6 bottom) were placed to get this patient an amazing new smile!


The patient came to our office because she was not happy with her smile. The upper front teeth were very crowded and had old fillings that were breaking down. Dr. Ruggless was able to give her a beautiful smile with 6 natural-looking crowns. The patient was beyond happy with the final result!


This patient came to our office wanting to improve the looks of her smile. She was unhappy with the color of her front tooth, and she wanted them to all match.
Veneers in Springfield, IL Are A Great Choice
When the patient was very young she fell and pushed her baby tooth into her gums. This caused her front permanent tooth to be dark when it came in. Over the years the patient had several white fillings placed over the tooth to cover it up. As with many fillings, over time, they will begin to stain and not match. Dr. ...


This patient came to our office unhappy with her bottom front four teeth. She wanted the teeth to be all the same natural color and shape.








This person had been a patient of the office for years, and was starting to have some issues with teeth and fillings breaking. He wasn't sure what he needed, but was hoping that he could strengthen his teeth as well as improve his smile.
Improve Your Smile with Dental Crowns in 62704
Dr. Ruggless performed a full oral exam with dental x-rays and photography. Several options were discussed, but ultimately it was decided that a majority of his teeth would require dental crowns. This would achieve the patient's goals as well as provide cosmetic and restorative dentistry. What ...


This patient presented in our office seeking a straighter and whiter smile. She was unhappy with the crowding on her top and bottom teeth.
Invisalign Clear Aligners for Adults
We discussed the benefits of Invisalign and the patient elected to move forward with treatment. In 10 short months, we were able to give her a beautiful smile with straight teeth. Following invisialign we made custom bleaching trays and used Zoom teeth whitening take-home gel. After two weeks her teeth had changed over 8 shades! The pictures here show her transformation from before to after. The patient was ecstatic ...


This patient had a history of dental trauma at an early age. She was in an accident that caused her to lose her front teeth. Over the past few decades she has had multiple bridges to replace her front teeth.
Dental Crowns & Bridges in Springfield, IL
Due to the nature of bone loss and teeth wear, her smile with her teeth started to move higher up causing an uneven smile. The patient's complaint was that her smile looked it like arched in the front, and you couldn't see her teeth when she smiled. The patient had a previous top


This patient presented with a desire to close the gap between her two front teeth with dental bonding. She had the procedure performed in the past but was not happy with the asymmetry between the teeth.
Close Gapped Teeth with Dental Bonding in 62704
In order to achieve the results we wanted, the old composite fillings were removed and the teeth were cleaned and prepared. Using a special matrix system designed for cases like this, we were able to achieve excellent results. The dental bonding starts below the gum line to help shape and place the gum papilla in the ...


Do you notice any discoloration or darkening of your teeth around the gums? Does your tooth seem to be wearing down or getting a notch along the gum line? Do you have gum recession, and/or are your teeth sensitive to cold? These are all symptoms of a tooth decay near the gum line.
When you visit our Springfield dentist office, Dr. Ruggless will examine your teeth for these symptoms.
Gum Line Cavity Treatment
There are many options to repair tooth decay and cavities near the gum line. Restorative procedures at Ruggless Dental include dental fillings, gum grafts, fluoride treatments, sensitivity toothpaste, ...


This patient came into our practice wanting a new set of dentures. Her previous set of dentures were worn, and she was unhappy with the color and shape of the teeth. Dr. Ruggless worked with the patient in determining the right size, shape, and color of teeth that would not only make the patient happy, but complement the shape of her face. A series of photos were taken to determine the best setup for the teeth. As you can see in the end, the patient was very happy with her new beautiful custom denture. If you are in need of ...


This patient came to our office with a dental emergency. Her front right tooth had been hurting, and after an x-ray and exam it was determined that the root of the tooth had fractured. In most cases once the root fractures the tooth cannot be saved and it requires a dental extraction. Options of a dental implant, a dental bridge, and a partial denture were discussed. The patient decided that she would like to move forward with a dental implant. Dr. Ruggless worked closely with a local periodontist to provide the treatment where the patient has the tooth ...


This patient came into Ruggless Dental with his front left tooth broken. Dr. Ruggless determined that the tooth could not be saved, and many options were discussed including an implant or dental bridge. Ultimately the patient decided he wanted to have a dental bridge to replace his tooth. The patient had also mentioned he was not happy with his smile and the look of his front teeth.
Cosmetic Dental Crown Restoration in 62704
Dr. Ruggless and the patient went through a smile design taking photos and models of the teeth. The final plan ended with the patient having 5 individual cosmetic dental ...


This patient was unhappy with the shape and color of her previous crowns and natural teeth. A gum surgery known as crown lengthening was performed by a local periodontist to provide a more natural smile with the gums.
Cosmetic Dentistry Results in Springfield, IL
The patient then went through dental Zoom! whitening to whiten her teeth. Her new smile was finalized with cosmetic porcelain crowns. The patient was ecstatic with her new teeth! She said Dr. Shane Ruggless and Ruggless Dental in Springfield, IL gave her a reason to smile again! If you would like to set up ...


This patient needed a preexisting dental crown replaced. The color of the previous crown was more yellow than the rest of his teeth. Our team was happy to help. Dr. Ruggless was able to prep and deliver a custom porcelain white crown to match the surrounding natural teeth. If you have an dental crown that is not aesthetically pleasing call Ruggless Dental at our Springfield office today! Or you can request an appointment here on our website.


This patient came to the office wanting to change and whiten her smile. Dr. Ruggless discussed her cosmetic dentistry options, and ultimately they agreed that porcelain white crowns would be the best option.
Porcelain Crowns & Teeth Whitening in Springfield, IL
The patient's natural teeth on the bottom were whitened using Zoom! whitening, and then six porcelain crowns were done on the top. The patient was beyond happy with her new smile! If you are interested in changing your smile with cosmetic dentistry contact Dr. Ruggless at Ruggless Dental for a consultation! You can request an appointment


The before photo shows an upper molar tooth after having an old filling removed and some cavity still remaining. Once the cavity was completely removed and the tooth shaped properly, Dr. Ruggless took an impression of the tooth to have a custom porcelain inlay made. The final photo shows the inlay bonded/cemented in with a perfect fit that blends in very well with the tooth! This was a conservative way for Dr. Ruggless to restore the tooth, and the patient was very happy with how fast and easy the procedure was.


The patient came into Ruggless Dental with tooth pain on her right side. Her x-rays showed a deep cavity that made it to the nerve of the tooth. Dr. Ruggless performed a root canal on the tooth to remove the infected nerve and get the patient out of pain. As with most back teeth, after a root canal they require a crown. Since the patient was young with pretty teeth it was very important to her that we make a custom crown that fits perfectly in her smile. Dr. Ruggless takes custom shades with photography to help the ...
Dr. Ruggless and his staff are very friendly and welcoming. The hygienists are kind and gentle with my children and make them feel at ease while in the dental chair. I trust Dr. Ruggless with the dental care of my family!