Ruggless Dental

Porcelain Crowns

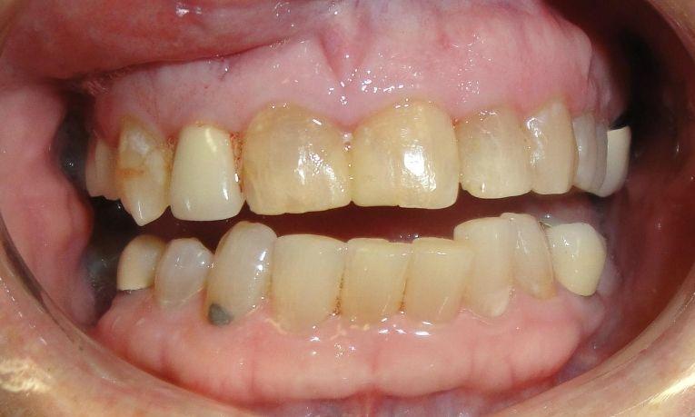
This patient came to the office wanting to change and whiten her smile. Dr. Ruggless discussed her cosmetic dentistry options, and ultimately they agreed that porcelain white crowns would be the best option.

Porcelain Crowns & Teeth Whitening in Springfield, IL

The patient's natural teeth on the bottom were whitened using Zoom! whitening, and then six porcelain crowns were done on the top. The patient was beyond happy with her new smile! If you are interested in changing your smile with cosmetic dentistry contact Dr. Ruggless at Ruggless Dental for a consultation! You can request an appointment here!

Ready to book an appointment?
If you have difficulty using our website, please email us or call us at (217) 787-0212