Ruggless Dental

Diastema Closure with Dental Bonding

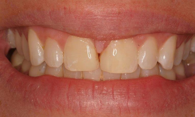
This patient presented with a desire to close the gap between her two front teeth with dental bonding. She had the procedure performed in the past but was not happy with the asymmetry between the teeth.

Close Gapped Teeth with Dental Bonding in 62704

In order to achieve the results we wanted, the old composite fillings were removed and the teeth were cleaned and prepared. Using a special matrix system designed for cases like this, we were able to achieve excellent results. The dental bonding starts below the gum line to help shape and place the gum papilla in the correct location. The dental bonding color was matched and blended into the natural tooth structure, making it very difficult to see if any dental work was performed at all. This non-invasive, short procedure, makes an excellent option in restoring teeth to a natural shape, and our patient was very happy with the results.

Repair Chipped or Broken Teeth at Ruggless Dental

If you are thinking about dental bonding from a Springfield, IL dentist, then call us today at Ruggless Dental! You can schedule an appointment through our contact page.

John M.

Dr. Ruggless and his staff are very friendly and welcoming. The hygienists are kind and gentle with my children and make them feel at ease while in the dental chair. I trust Dr. Ruggless with the dental care of my family!

Ready to book an appointment?
If you have difficulty using our website, please email us or call us at (217) 787-0212
View the ADA Accessibility Statement