Ruggless Dental

Custom Porcelain Crown

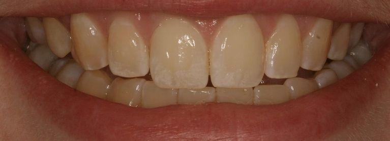
The patient came into Ruggless Dental with tooth pain on her right side. Her x-rays showed a deep cavity that made it to the nerve of the tooth. Dr. Ruggless performed a root canal on the tooth to remove the infected nerve and get the patient out of pain. As with most back teeth, after a root canal they require a crown. Since the patient was young with pretty teeth it was very important to her that we make a custom crown that fits perfectly in her smile. Dr. Ruggless takes custom shades with photography to help the lab achieve this. The first image shows the photos taken for her custom shade for her porcelain crown. The final image shows the crown just after placement that blends in to complement her beautiful smile. If you are in need of a Springfield, IL dentist who can deliver custom porcelain crowns please call us today at Ruggless Dental to schedule an appointment. Or you can request an appointment here.

Related Services:

Crowns and Bridges
Root Canals
John M.

Dr. Ruggless and his staff are very friendly and welcoming. The hygienists are kind and gentle with my children and make them feel at ease while in the dental chair. I trust Dr. Ruggless with the dental care of my family!

Ready to book an appointment?
If you have difficulty using our website, please email us or call us at (217) 787-0212
View the ADA Accessibility Statement