Ruggless Dental

Dental Implant Crowns with Dental Bonding

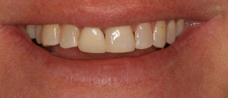
This patient came to our office with a dental emergency. Her front right tooth had been hurting, and after an x-ray and exam it was determined that the root of the tooth had fractured. In most cases once the root fractures the tooth cannot be saved and it requires a dental extraction. Options of a dental implant, a dental bridge, and a partial denture were discussed. The patient decided that she would like to move forward with a dental implant. Dr. Ruggless worked closely with a local periodontist to provide the treatment where the patient has the tooth pulled, an implant placed, and she is able to walk out with a temporary dental implant crown all in the same day. Once all this heals over a period of time, then a permanent dental implant crown is made with custom porcelain to match the other teeth. In this case Dr. Ruggless also did some dental bonding on the surrounding teeth to make sure all the teeth were the appropriate size and shape. The final image shows her new dental implant crown as well as the dental bonding. The patient couldn't believe how well the work blended in with the rest of her smile. If you are in the need of a dental implant in Springfield, IL then please contact us at Ruggless Dental for an evaluation! You can request an appointment on our website here.

Still need an appointment?
If you have difficulty using our website, please email us or call us at (217) 787-0212